スポーツ医学センターは子供からプロスポーツまで、様々なレベルのスポーツ障害に対する予防と治療の向上を目指して設立されました。スポーツを楽しむ人は年々増えており、年齢や競技レベルに応じて様々な障害・外傷が生じています。一昔前は治療できずにスポーツを諦める方も多くいましたが、病態の究明が進んだ今日では、保存的治療、手術的治療共に格段の進歩を遂げています。当センターではそれらの高度な専門的治療を日常診療に取り入れており、特に肘・肩・膝・関節は本邦有数の治療実績を誇っています。また、大学等の教育機関や地域の研究会での講演、予防啓蒙活動を通して活動の普及も進めています。
センター長 古島弘三(肘関節),船越忠直(肩関節),丸山真博(手の外科),中川智之(膝関節),岩下孝粋(足関節)
スポーツ選手の復帰を確実に、再発を予防するために。
詳細はこちらからご確認ください。

| 肘関節 | 内側側副靭帯損傷,離断性骨軟骨炎,内側上顆下端剥離骨折 |
|---|---|
| 肩関節 | 肩関節脱臼,スポーツによる肩関節障害,胸郭出口症候群 |
| 手の外科 | 三角線維軟骨複合体損傷 |
| 膝関節 | 前十字靭帯損傷,半月板損傷,膝蓋骨脱臼,変形性膝関節症に対する膝周囲骨切り術 |
内側側副靭帯(尺側側副靭帯:UCL)は、肘の内側に張る靭帯で、投球動作など肘関節がしなる際にしなりすぎないように働く靭帯です(図1)。近年、プロ野球選手やメージャーリーガーでも多くの選手がUCL損傷を発症し、手術的治療を行ったことが報道されています。初発で靭帯損傷が軽度であれば手術を行わず、リハビリで復帰することも可能ですが、靭帯損傷が高度であれば手術的治療も考慮します。保存療法成績は,42%~84%と報告されています。
当院の調査では、内側上顆に学童期の遺残裂離骨片を有する症例(図2:リスク2.6倍),MRIでの完全損傷(図3:リスク4.6倍)を有する症例が手術を要するリスクが高まることが分かっています。詳細な評価に基づく診断を行い,3ヶ月以上のリハビリテーションを主体とした保存療法を行っても競技復帰が達成できない場合は手術療法を考慮します。手術を行う条件として,選手が競技復帰・継続を強く希望することが必須となります。



【図3 MRI検査でのUCL】
当院では、本邦有数の手術件数を誇り、当院名誉院長の伊藤が考案した「伊藤法」という術式で手術を行っております(図4)。術後は、約4週間ギプスで固定し、ギプス除去後から可動域訓練を開始、徐々に負荷量を上げていき、8ヶ月で全力投球許可を目標としております。移植した腱と固定に使用する骨釘は、徐々に強度を増していくためスポーツ復帰までに一定の期間を要します(図5)。また、手術後は再発のリスクを低減しつつ、パフォーマンスを向上させるために、筋力トレーニングやストレッチ、投球動作修正などのリハビリテーションを積極的に行います。
学生時代、アマチュア時代に当院で手術を受け、その後プロの世界に進んだ選手もおります。

【図4 靭帯再建術(伊藤法)】

【図5 手術後のリハビリテーションの流れ】
肘関節外側の骨・軟骨が崩れてしまう病気です(図6)。初期に発見されれば安静を中心とした保存療法で修復が期待できますが、疼痛や可動域制限が出てきてから発見されると手術的治療を要する選手も出てきます。そのまま放置しておくと、スポーツが出来ないだけでなく、将来、変形性肘関節症へ進行することが危惧され、日常生活や仕事にも支障が出てきます。そのため早期発見が重要と考えられています。当院では、保存的治療、手術的治療(図7)とも対応可能です。手術を行った場合、2-3週間シーネで固定し、固定除去後から可動域訓練を開始、徐々に負荷量を上げていき、6-8ヶ月で全力投球許可を目標としております(図8)。



【図8 手術後のリハビリテーションの流れ】
内側上顆下端裂離骨折は、肘の靭帯が付着する骨が投球動作により牽引されて剥がれる怪我です(図9)。小学生に多い怪我で痛みが引けば投球再開・競技復帰が可能となります。しかし、近年、この骨折の後遺障害で骨が変形したり、癒合が得られないことで、高校生以上に内側側副靭帯損傷を発症する選手が多いことが分かってきました(図10)。当院では、「骨をきちんと癒合させる」ことにこだわっており、簡易型プラスチック装具(図11)で一定期間固定を行っております。後遺障害を起こさないよう治癒させることを目指しています。



脱臼が生じると、骨、靭帯(関節包)が壊れます。そのまま放置すると壊れた部分がさらに大きくなることがあります。初期の段階では関節鏡により壊れた骨、靭帯を修復してくることが可能です(図1、2)。スポーツ選手の場合には早期復帰、復帰後の改善度を考えると重症化する前にしっかりと解剖学的に修復することが望ましいと考えます。特にラグビーやアメリカンフットボール、柔道、レスリング、アイスホッケーのような衝突を繰り返す可能性のあるスポーツにおいては十分な戦略を持った治療が満足する結果を出せると考えます。



【図1 投球動作による第一肋骨疲労骨折(Funakoshi et al. JBJS 2019より)】
これまで、スポーツによる肩関節障害は、様々な治療が試みられていますが、十分な成果を挙げているとは言い難く、肩の痛みによりスポーツを断念する選手は未だ数多く存在します。そもそも適切な診断がされていない場合が多いため、当院では、肩の痛みを診断から見直し、関節外における隠された神経症状(胸郭出口症候群や四辺形症候群など、胸郭出口症候群センターの項参照)、疲労骨折(図1)など、さらに関節内における関節唇(SLAP修復 図2)、関節包の損傷を把握することで、適切な治療を目指しています。スポーツ医学センター、リハビリ科とも連携して早期かつ元のレベルへの現場復帰をサポートします。

【図2 関節鏡によるSLAP修復(左肩を後方から見る)】
三角線維軟骨複合体(Triangular Fibrocartilage Complex:TFCC)は、手関節尺側の安定性と荷重伝達を担う軟骨と線維組織で構成されたハンモック構造の複合組織です。TFCCは手関節尺側の支持・安定を担います。近位橈尺関節の回内外運動の安定の他、日常動作やスポーツ動作での荷重負荷を吸収する、いわゆるクッションの役割を果たします。
TFCC損傷は、手関節の尺側部痛(ulnar-sided wrist pain)を呈する代表的疾患です。原因として、外傷性と変性に大きく分けられます。外傷性は、転倒時に手をついた際の過度な手関節の捻りや野球のバッドスイングやテニスなどのラケットスイング動作などの繰り返す手関節の捻りによるスポーツ活動が原因となります。一方、変性は、加齢や尺骨突き上げ症候群(尺骨橈骨よりも相対的に長くなることにより手関節尺側のTFCCと周囲の手根骨が衝突しTFCCが摩耗し変性する)が原因となります。
手関節尺側部の痛みが主であり、ドアのぶやビンのふたを開ける際に手首をひねる(回内外)動作や手首を小指側に倒す(尺屈)動作で痛みが生じます。スポーツではバッドスイングやラケットスイング動作で痛みが生じることが多いです。また、手関節尺側にクリック感や引っかかり感が生じたり、手首が緩く感じることがあります。
身体所見ではFovea徴候、Ulnar compressionテスト、TFCC ballottementテストなどで評価します。また、尺側手根伸筋腱(ECU)腱鞘炎/亜脱臼や月状骨三角骨間靱帯損傷などとの鑑別などを要します。
単純X線の他、MRI、手関節造影/CTを行います。単純X線では、TFCC自体は映りません。しかし、骨形態の評価、とくに突き上げ症候群の評価に有用であり、必須の検査の1つです。MRIではTFCCの損傷の有無を評価します。また、ECU腱鞘炎などその他の障害/疾患の有無を確認します。しかしながら、MRIではTFCCの詳細な評価が難しい場合があり、手関節造影/CTが必要となることがあります。手関節造影/CTでは、造影剤を橈骨手根関節内および遠位橈尺関節内に注入しTFCCの円盤部や末梢部、表層部、および小窩(Fovea)部などでの断裂形態を確認します。その他、手根骨間靱帯損傷や手関節尺側部の骨形態について評価します。

【MRI】

【手関節造影】

【手関節造影後CT】
保存療法

【カフ型装具】
外傷の場合は、受傷間もない場合は保存療法が有効です。
手関節固定装具や痛み止め、スポーツ活動の休止、リハビリテーションを行います。
多くの場合、3か月程度で治りますが、保存療法で症状が改善しない場合は手術が必要となる事があります。
手術
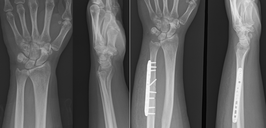
手術は関節鏡視下TFCC縫合術(TFCC関節包縫合術、経骨孔TFCC縫合術)、手関節鏡視下デブリドマン、TFCC再建術、尺骨短縮骨切り術、鏡視下尺骨遠位端部分切除(Wafer procedure)などがあります。各術式は年齢、性別、利き手側、スポーツや活動レベル、受傷機転、罹病期間、症状、身体所見などの他、画像評価によるTFCCの状態や突き上げ症候群の有無、DRUJの状態など総合的に評価して決定していきます。手術後は3~6週間、外固定を行います。また、リハビリテーションを行います。状態次第ですが、術後3~6か月程度で日常生活動作やスポーツ復帰が可能となります。

【関節鏡視下TFCC関節包縫合術】

【尺骨短縮骨切り術(術前と術後)】

【図1 MRIでみえる前十字靭帯】
前十字靭帯(ACL)は、大腿骨(太ももの骨)と脛骨(すねの骨)をつないでおり、膝関節の前後方向の安定性を保つ重要な靭帯です(図1)。
この靭帯が損傷すると、膝のぐらつき(不安定感)が生じ、スポーツ動作や階段昇降などで膝が「抜ける」ように感じることがあります。
また、前十字靭帯損傷では半月板損傷を合併することが多く、放置すると変形性膝関節症へ進行する可能性があります。
前十字靭帯は血流が少ないため、一度断裂すると自然に修復することはほとんどありません。そのため、手術による靭帯再建が検討されます。

【図2 knee-in toe out】
前十字靭帯損傷は、バスケットボールやサッカーなどのジャンプ着地時、急な方向転換時、または柔道やラグビーでの接触プレー時などに起こることが多いです。
特に、ジャンプの着地や切り返しの際に、**膝がつま先より内側に入る姿勢(knee-in toe-out)**になると、前十字靭帯に大きな負担がかかり、損傷しやすいとされています(図2)。
前十字靭帯を損傷した直後は、「ブツッ」という断裂音とともに強い痛みを感じることがあります。膝の中で出血が起こるため、関節が腫れて曲げ伸ばしがしにくくなります。
ただし、痛みが少し落ち着くと歩ける場合もあるため、重症と気づかないまま放置してしまうこともあります。
数日経つと腫れが引いて日常生活に支障がないように見えますが、靭帯が切れていると**膝のぐらつき(不安定感)**が残り、スポーツ動作や階段の上り下りの際に「膝が抜ける」感覚を感じることがあります。
診断はMRIの画像と医師による徒手検査で確定します。
基本的には、手術治療の適応となります。手術治療は、関節鏡にて行われ、自家腱と呼ばれる自身の腱を用いて靭帯再建が施行されます(図3)。
前十字靭帯の再建には、採取する腱の種類によっていくつかの方法があります。
代表的なものとして、
・ST法:太ももの内側にある半腱様筋(はんけんようきん)を使用する方法
・BTB法:膝蓋腱(しつがいけん)の一部を骨ごと採取して使用する方法
があります。

【図3 関節鏡でみえる前十字靭帯】
当院では、主に**ST法**を用いて手術を行っています。
ただし、ラグビーやレスリングなど高強度のコンタクトスポーツを行う方では、個々の競技特性に応じて方法を検討します。また、再断裂した患者さんには基本的にはBTB法を用いて手術を行っています。さらに、再建後も膝の不安定感が強い場合には、前外側靭帯(ALL)と呼ばれる靭帯を人工靭帯で同時に再建することがあります。前外側靭帯は膝のねじれ(回旋)を抑える働きを持ち、再建により高い安定性が得られると考えられています。
なお、前十字靭帯断裂では半月板損傷を伴うことが多く、その場合は**同時に半月板の処置(切除・縫合など)**も行います。

【図4 前十字靭帯再建術 年間手術件数(2020〜2024年)】
手術までの期間には、できるだけリハビリテーションをしっかり行うことが大切です。
特に、膝の曲げ伸ばしの可動域を左右差なく回復させることを目標としています。
手術前に膝の動きや筋力を整えておくことで、手術後の回復がスムーズになり、合併症の予防にもつながります。
また、手術までに期間がある場合は、術前から体の使い方や機能的な問題に対してリハビリを行うことも重要です。
当院では、独自のリハビリ施設「Keiyu Personal Fitness」をご利用いただけます。ご利用を希望される場合は、必ず主治医にご相談ください。

装具に関して

基本的には動作時のみ装具を必ず装着します。(例:車椅子への乗り降り、歩行時など)
動作を行わないとき(ベッド上など)は、可能な限り装具を外します。
寝ている間は装具を外していただいても大丈夫です。
※退院後は、自宅内では装具を外して歩くことが許可されます。
ただし、自宅外では必ず装具を装着して歩行するようにしてください。
装具の装着期間は、術後約2か月を予定しています。
装具を外すタイミングについては、必ず主治医の指示に従ってください。 指示があるまでは、必ず装具を装着するようにしてください。

術後2か月目
診察時に主治医が膝の状態(腫れの程度や曲げ伸ばしの角度)および動作を確認します。
→ 問題がなければ、**軽いジョギングを開始(早期プロトコル)**します。
術後3か月目
診察時に主治医が膝の状態(腫れの程度や曲げ伸ばしの角度)および動作を確認します。
→ 問題がなければ、**軽いジョギングを開始(通常プロトコル)**します。
早期プロトコルと通常プロトコルの詳細については、担当理学療法士に確認してください。
※膝の状態を確認したうえで、スポーツ復帰を目指す方には、主治医より「Keiyu Personal Fitness」のご案内があります。ご希望の方や気になる方は、主治医にご相談ください。

当院では、競技特性に応じたスポーツ別プロトコルを作成しております。
スポーツ動作に特化した評価項目を設定し、動作獲得を目標としてリハビリテーションを実施しております。
なお、練習内容および学校での体育活動につきましては、必ず主治医および担当理学療法士と相談の上、進めてください。また、当院では時期(術後◯週など)による一律の動作開始基準ではなく、各動作をチェック項目として評価し、理学療法士が問題ないと判断した場合に現場で動作を実施する方法を採用しています。
必要に応じて、実際の競技現場での動作を動画で撮影していただき、その映像をもとに動作を確認しながら指導する体制を整えています。
半月板は膝関節の大腿骨と脛骨の間にある軟骨組織です。半月板は膝関節の内側と
外側にあります。内側がC字型、外側はO字型をしており、大腿骨と脛骨の適合を高めます。膝関節におけるクッションとして働き、衝撃を分散させます。
また膝関節の曲げ伸ばしに合わせて半月板も関節内で動くことで大腿骨と脛骨の適合性を維持し、膝関節の角度が変わっても、その役割を果たしています。そのため、半月板が損傷するとその機能が破綻し、膝関節において異常が生じます。
半月板の損傷形態としては、大きく3つに分けられます。
①半月板実質部の損傷
②半月板の付着部の損傷
③半月板の形状が半月ではなく円板状になっていることで症状がでる場合
診断には、症状の経過や診察時の医師による徒手検査やMRIなどが用いられます(図1)。また半月板の損傷にはさまざまなタイプが存在します(図2)。

【図1 MRIでみた半月板】

【図2 半月板の損傷形態】
膝の曲げ伸ばしで引っかかり感や痛みを感じたりします。ひどい場合には、ロッキング症状という急に膝の曲げ伸ばしが出来なくなる状態になります。また、腫れを伴う場合や膝関節に水が溜まることもあります。
一般的に組織が治癒するためには、栄養と細胞等を運搬するための血流が必要です。半月板も同様に、損傷した場合、修復するために血流が必要となります。しかし、半月板は領域によって血流が異なるため、損傷した部位で修復能力が異なります。半月板の血流は外縁に豊富で、内縁に向かうにつれて乏しくなり、また内縁には無血管領域が存在し、血流による組織修復は起こりませんので、修復は望めません。

【図3 関節鏡でみえる半月板】
治療としては、手術をしない保存治療と損傷した半月板に対して処置を行う手術治療があります。損傷形態により治療方法は変わり、断裂していても不安定性がない場合などは保存療法が選択されることもあります。一方で、不安定性があり、引っかかりやロッキング症状がある場合は手術療法が選択されます。
保存療法では、関節内注射や、断裂部に負荷を掛けないように筋力トレーニングやストレッチ、動作練習などの運動療法が行われています。手術治療は、切除術と縫合術に分けられます。半月板には関節のクッションやスタビライザーとしての役割があるため、できる限り温存させることが重要とされています。そのため当院では色々な方法や器具を駆使し積極的に縫合を行なっています。しかし、治癒の見込めない部位の断裂や半月板が引っかかるような断裂、また縫合できない断裂などの場合では、切除術が行われます(図3)。
当院では、半月板切除術後は翌日から荷重を許可し約2~3ヶ月で、縫合術後では一定の免荷期間の後に荷重を許可し約4~5ヶ月でスポーツ復帰を目標としており、それまでの期間は、筋力トレーニングやストレッチ、動作練習などのリハビリテーションが積極的に行われています(図4)。

【図4 半月板縫合術後のリハビリテーションの流れ】
膝のお皿(膝蓋骨)と太ももの骨(大腿骨)は膝蓋大腿関節という関節を形成しています。通常は大腿骨の上をお皿が上下・左右に動いていますが、靱帯や筋肉によってそれぞれの方向へ動きすぎないように制御されています。外傷や先天的な要因が原因でお皿が外れてしまうことがあり、膝蓋骨脱臼と呼ばれています。お皿が外側に外れてしまうことがほとんどで、内側に外れてしまう事はまれです。お皿を外側に外れないように内側から押さえてくれている靱帯を内側膝蓋大腿靱帯(MPFL)と呼び、脱臼によりこの靱帯の機能が破綻します。何度も脱臼を繰り返してしまうことを反復性膝蓋骨脱臼と呼び、この状態になると日常生活でもすぐに脱臼していまいます。受傷後、脱臼したまま病院へ来院することもありますが、通常自然に整復されている事が多いです。脱臼が習慣化して何度も外れてしまうと、軟骨に負担がかかり軟骨を損傷してしまいます。
診断には、症状や診察時の医師による徒手検査、X-P、MRIなどが用いられます(図1)。

【図1 MRIでみた膝蓋骨脱臼】
太ももの内側の痛みと膝の腫れ、膝の曲げ・伸ばしが悪くなってしまうなど動きの制限が出現します。また、動作中にお皿が外れる感覚、外れそうな不安・違和感というような自覚的な症状が出現します。
治療は手術をしないでお皿を外れないようにする保存治療と、手術をしてお皿を外れないようにする手術治療とがあります。

【図2 関節鏡でみえる膝蓋骨脱臼】
保存治療は主に運動療法が行われ、内側広筋と呼ばれる太ももの内側の筋肉をトレーニングすることでお皿が外側に外れないようにします。また、膝・股関節周囲の柔軟性を上げるためのストレッチや、動作が不安定にならないようにバランス練習なども行います。これらに加えて、お皿が再び外れないよう予防的にサポーター(装具)も利用します。一方で、脱臼が習慣化してしまい日常生活でも脱臼してしまうような場合は、手術治療が選択されます。手術治療は、内側膝蓋大腿靭帯(MPFL)と呼ばれる靭帯を作り直す靱帯再建が行われます(図2)。また、脱臼しやすい骨の形態をしている場合は、靱帯再建に加えて骨を切って形態を変えることも行われます。
当院では、MPFL再建術後は、約1週で荷重と可動域を許可し5~6ヶ月でスポーツ復帰を目標としており、それまでの期間は、筋力トレーニングやストレッチ、動作練習などのリハビリテーションが積極的に行われています(図3)。

【図3 手術後のリハビリテーションの流れ】

【図1 膝関節の骨構成および関節の名称】
膝関節は、大腿骨、脛骨、膝蓋骨によって構成されており、大腿脛骨関節と膝蓋大腿関節に分けられます。一般的に、膝関節というと大腿脛骨関節のことであり、また変形性膝関節症の多くはここでの病変を指します。(図1)
病因は一次性と二次性に分類されます。先天異常や外傷後、代謝性疾患などの明確な原因があるものは二次性とされています。一方で、誘引なく症状が出現するなどの明らかな原因が認められないものは一次性に分類されます。一般的には、退行変性を基盤とする一次性が多く、関節軟骨の摩耗や骨棘形成などを伴い、内反変形または外反変形を呈します。診断にはX線が主に用いられますが、軟骨の摩耗や骨髄浮腫などの精査にMRIが用いられることや、骨の状態を確認するためにCTが用いられることがあります。また、X線においては膝のみの撮影に加え、下肢全長といわれる股・膝・足関節を含んだものを撮影し、脚の変形の程度も確認することもあります。
初期症状としては、関節の腫脹やこわばり、歩き始めや立ち上がり時の痛み、関節可動域制限などが認められます。症状や変形が進行すると、痛みが増強し動作や歩行が困難になることで日常生活に支障をきたします。
変形性膝関節症の治療は、保存治療と手術治療に分けられ、変形や症状が重度でなければ保存治療が用いられます。保存治療には、薬物療法としての内服やヒアルロン酸の関節内注射、運動療法としての筋力トレーニングやストレッチ、装具療法としての足底挿板などが用いられます。変形や症状が重度の場合や、保存療法で症状が改善されない場合には、手術療法が考慮されます。手術療法には、人工膝関節全置換術(TKA:Total Knee Arthroplasty)、人工膝単顆置換術(UKA:Unicompartmental Knee Arthroplasty)、大腿骨遠位骨切り術(DFO:Distal Femoral Osteotomy)、脛骨高位骨切り術(HTO:Hight Tibial Osteotomy)や脛骨遠位粗面下骨切り術(DTO:Distal Tuberosity Osteotomy)などが用いられます。
・大腿骨遠位骨切り術(DFO:Distal Femoral Osteotomy):(図2)

【図2 DFOの骨切り位置】
大腿骨と呼ばれるふとももの骨を膝に近い位置で切り、変形を矯正する手術になります。大腿骨を楔状に切り落として変形を矯正することがほとんどです。
・脛骨高位骨切り術(HTO:Hight Tibial Osteotomy):(図3)

【図3】
左はOpen Wedge HTOおよびDTOの骨切り位置
右はHybrid Closed Wedge HTOの骨切り位置
脛骨と呼ばれるすねの骨を膝に近い位置で切り、変形を矯正する手術になります。HTOにはOpen Wedge HTOとHybrid Closed Wedge HTOがあります。Open Wedge HTOは、内側から外側に向かって脛骨を切り、人工骨を入れて変形を矯正する方法になります。Hybrid Closed Wedge HTOは、外側から内側に向かって脛骨を楔状に切り落として、変形を矯正する方法になります。Hybrid Closed Wedge HTOの場合、腓骨と呼ばれる脛骨に並走する骨も切り落とします。どちらの方法を用いるのかは、変形の程度によって選択されます。
・脛骨遠位粗面下骨切り術(DTO:Distal Tuberosity Osteotomy):(図4)

【図4】
左はOpen Wedge HTOの骨切り位置
右はDTOの骨切り位置
基本的にはOpen Wedge HTOと同様の手術になります。Open Wedge HTOの場合、脛骨粗面と呼ばれる膝蓋腱の付着部を遠位側に残すように骨切りされます。近年、この手術によって膝蓋骨の位置が変化することで、膝蓋大腿関節における関節症の発症リスクが高まる可能性が示されています。この解決策として誕生したのがDTOになります。DTOは従来のOpen Wedge HTOにおける脛骨粗面の骨切り方法を変更したものです。脛骨粗面を近位側に残すよう骨切りすることで、膝蓋骨の位置が変化せず、膝蓋大腿関節における関節症の発症予防になると考えられています。
一般的に、変形膝関節症による内反変形に対してはHTOまたはDTOが用いられ、外反変形に対してはDFOが用いられます(図5)。また、変形が高度の場合は、DLO(Double Level Osteotomy)と呼ばれる大腿骨と脛骨の両方の骨切りを行う手術も用いられます。
骨切り術の適応としては、骨粗鬆症がないことに加え、年齢や変形の程度、靭帯損傷の有無などが考慮されます。

【図5 各術式の手術前後のX線(下肢全長)。AはDFO、BはHybrid Closed Wedge HTO、CはOpen Wedge HTO、DはDTO。
DTOは脛骨粗面を固定するスクリューを使用するため、Open Wedge HTOにはないスクリューがX線で確認できます。】
当院では、手術後に一定の固定期間と免荷期間を設けた後に、関節可動域練習を開始し、荷重練習を開始します。一般的に切った骨の癒合は3〜6ヶ月とされており、癒合後はランニングなどのスポーツ活動が可能ですが、手術前のスポーツレベルに回復するにはもう少し時間を要します。また、固定や免荷期間による活動量低下に伴う筋力低下なども生じます。手術後は、筋力トレーニングやストレッチなどのリハビリテーションが積極的に行われています。

【図6 膝周囲骨切り術後のリハビリテーションの流れ】

【図1 :MRI・CTでみえる離断性骨軟骨炎(左:MRI、右:CT)】
関節軟骨は、関節を形成する骨の表面にある組織(硝子軟骨)です。軟骨細胞と細胞外基質から構成されたおり、神経、血管、リンパ管に乏しいという組織学的特徴を持っています。軟骨の下には、軟骨下骨という骨組織があり、骨実質に連続しています。
関節軟骨は、主に運動時にかかる関節への応力や剪断力を吸収するという重要な役割を果たしています。しかし、血行に乏しい組織であることなどから、一度損傷すると自然に再生はしないと言われており、そのままにしていると損傷部位の拡大とそれに伴う変形性膝関節症への進行に繋がることもあります。
離断性骨軟骨炎は成長期に生じやすく、軟骨が骨ごと剥がれてしまう障害です。またこの他に軟骨損傷の病態は様々で、離断性骨軟骨炎の他に、靭帯損傷に伴う損傷、膝蓋骨と言われる膝のお皿の脱臼に伴う損傷、外傷やスポーツ活動などでの過度な負荷により生じる損傷などもあります。
診断には、症状の経過や診察時の医師による徒手検査などによる他の疾患との鑑別、また画像としてMRIやCTなどが用いられます(図1)。
軟骨損傷の部位や大きさ、損傷の程度、剥がれて遊離した軟骨片の有無などによって症状の現れ方や程度が異なります。
軟骨が損傷することによって、関節水腫(いわゆる膝に水が溜まること)が起こります。小さな損傷では、安静時に症状はなく、動作時にわずかな痛みや違和感などが出現します。経過の中で症状がなくなることもありますが、軟骨の損傷の範囲が拡大すると強い痛みを生じます。また、軟骨が剥がれた部位によっては、膝の曲げ伸ばしで引っかかるような感覚やずれるような感覚を生じることもあります。場合によっては、剥がれた軟骨片が関節内で挟まることで、急に曲げ伸ばしができなくなってしまうこともあります。
治療としては、手術をしない保存治療と損傷した軟骨に対して処置を行う手術治療がありますが、関節軟骨の再生能力は低く、損傷後の自然治癒はほとんど起こらないと言われているため、症状や損傷の程度、部位などによって治療方針が決定されます。
保存療法では、局所の安静やヒアルロン酸の関節内注射などが挙げられます。
手術療法は、症状や損傷の程度、部位によって方法が選択されます。関節の袋を切り開くことに加え、関節鏡を併用することでmm単位の確認や操作が行えます。
方法としては、①骨穿孔術(こつせんこうじゅつ)、②自家骨軟骨柱移植術(じかこつなんこつちゅういしょくじゅつ)、③骨釘術(こっていじゅつ)、④自家培養軟骨移植術(じかばいようなんこついしょくじゅつ)などが用いられます。
① 骨穿孔術(こつせんこうじゅつ)
ドリリングまたはマイクロフラクチャーなどとも呼ばれています。損傷軟骨の母床の軟骨下骨(軟骨の直下にある骨のこと)に小さな孔を開け、血液や骨髄液の流出を促し、損傷した部位へ血塊を形成させることで欠損した軟骨を修復させる方法になります。この方法は比較的小さな軟骨損傷に対して、良い適応とされています。
② 骨釘術(こっていじゅつ)
自分の骨を釘のように細工をして、剥離もしくは遊離した骨軟骨片を損傷部へ結合させる方法になります。この方法は剥離または遊離した骨軟骨片の状態が良い場合に適用があり、骨軟骨片の損傷や変性が著しい場合は行えません。
③ 自家骨軟骨柱移植術(じかこつなんこつちゅういしょくじゅつ)

【図2 自身の身体から採取した移植前の骨軟骨柱
(先端の白い部分が軟骨でその他の部分が軟骨下骨)】
モザイクプラスティなどとも呼ばれています。自身の機能破綻を生じしにくい部分から軟骨と軟骨下骨を円柱状に採取し、それを軟骨欠損部へ移植させることで損傷部位の軟骨修復を図る方法になります。この方法は比較的大きな軟骨損傷にも適用できるとされていますが、自身の正常軟骨を使用するため、採取できる軟骨の量に限界があります。(図2. 3. 4)

【図3 関節鏡でみえる離断性骨軟骨炎 その1
(左:手術前の損傷した軟骨、右:骨軟骨柱移植術後の軟骨)】

【図4 関節鏡でみえる離断性骨軟骨炎 その2
(左:手術前の損傷した軟骨、右:骨軟骨柱移植術後の軟骨)】
④ 自家培養軟骨移植術(じかばいようなんこついしょくじゅつ)
この手術は2期的に軟骨修復を行う方法になります。1回目の手術では、自身の正常軟骨を採取し、それを体外で約4週間培養させます。2回目の手術では、軟骨欠損部へ培養した軟骨細胞を移植し、自家骨膜で覆います。この方法は、広範囲の軟骨欠損に対して適応となります。
当院では、離断性骨軟骨炎の手術後は、一定の固定期間と免荷期間を設けた後、関節可動域練習や荷重を許可し、徐々に運動負荷を上げ、約6ヶ月でのスポーツ復帰を目標としております。その間、ストレッチや筋力トレーニングなどの積極的なリハビリテーションが行われています(図5)。

【図5 手術後のリハビリテーションの流れの一例】
スポーツ選手の復帰を確実に、再発を予防するために。
詳細はこちらからご確認ください。


【図7 ぐんま野球フェスタ2019(Full countより引用)】
当院では、県内医療機関、高校野球連盟と連携し、指導者・保護者・選手向けの予防啓蒙活動を実施しております。肩肘の検診活動に加え、指導者向け講習会、育成方法講義、栄養指導講義、少年向けトレーニング実技などをおこなっております。このような活動を通して、重症化して手術しか選択肢が残されていない選手を減らしていきたいと考えています。